 
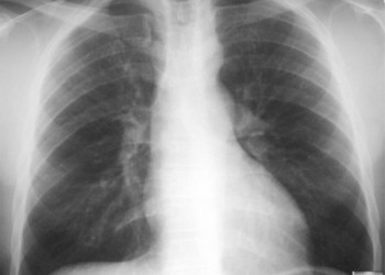
								Pacient? în vârst? de 11 ani cu boal? cardiac? congenital? este supus? unei interven?ii chirurgicale de corectare a defectului cardiac.
Preoperator, aspectul radiologic arată ca în imagine. Postoperator dezvoltă durere abdominală, meteorism și vărsături, iar la examenul clinic se remarcă zgomote intestinale reduse. Chirurgul ridică suspiciunea unei ischemii intestinale ca o complicație a chirurgiei cardiace. Care dintre următoarele este cel mai probabil defectul cardiac al pacientei?
- defect septal ventricular
- canal arterial persistent
- coarctație de aortă
- tetralogia lui Fallot
- insuficiență aortică
Care ar fi cel mai potrivită metodă de prevenire a complicației digestive? Așteptăm răspunsurile în formularul de comentarii.
Foto: learningradiology.com
 
																									